Процедуры

Домой Процедуры

Фторирование зубов у детей — что это такое, как выглядит на фото до и...

0
По всему миру пациенты обращаются к стоматологам, чтобы провести фторирование зубов. У этой процедуры сегодня очень много поклонников. Однако кто-то до сих пор не...

Ингаляции с Диоксидином для детей при насморке и кашле: инструкция по применению

0
Лечение кашля у детей с помощью диоксидинаОдним из наиболее эффективных способов лечения кашля у детей являются ингаляции. Проводить их лучше с помощью современных ингаляторов...

Лук с сахаром от кашля для детей: рецепт, эффективные варианты сиропа с медом и...

0
Старое-проверенное народное средство от кашля — сахар с луком. Это рецепт, которым активно пользовались наши мамы и бабушки для лечения детей. Один из наиболее...

Как облегчить кашель у ребенка в домашних условиях ночью — чем помочь при сухом...

0
Приступ сухого кашля у взрослых, также как и у детей, тем, более по ночам – непростое состояние и проблема. Нужно знать причину вызывающую приступообразный...

Как закапать капли ребенку в глаза, нос или уши: алгоритм, что делать, если он...

0
Думаете, что с появлением детей путешествия становятся невозможными и их нужно спрятать в долгий ящик, пока дети не пойдут в садик, пока не пойдут...

Парафиновые сапожки для детей в домашних условиях: видео и советы с фото

0
Довольно часто случаются ситуации, что понравившаяся нам  обувь, у которой есть основная функция – удобство, оказывается маленькой и натирает при этом, создавая своему хозяину...

Как вылечить аденоиды у ребенка народными средствами в домашних условиях без операции?

0
Аденоиды — лечение народными средствами: устраняем первопричину Лечение аденоидов народными средствами было актуально тогда, когда гомеопатия ещё ничего не «придумала», а операции ещё нельзя было...

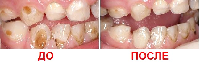
Серебрение зубов у детей — фото до и после, фторирование как альтернатива

0
Серебрение зубов у детей – отзывыИз этой статьи вы узнаете:что такое серебрение молочных зубов,серебрение зубов у детей – отзывы о разных препаратах,какая бывает альтернатива серебрению...

Маски от прыщей в домашних условиях для подростков: как сделать средство для лица от...

0
Домашние маски для лица помимо борьбы с прыщами оказывают эффективное очищающее и вяжущее действие, питают и заживляют, усиливают кровоток, оказывая омолаживающее действие, матируют, устраняя...

Как разводить Фурацилин в таблетках для промывания глаз детям при конъюнктивите и других патологиях?

0
свежие и осложненные пиогенной инфекцией (гнойные) раны;пролежни;ожоги 2 и 3-й степени;мелкие повреждения кожного покрова (трещины, ссадины, порезы и т.д.);остеомиелит;воспаление наружной оболочки глаза или ресничного...

ЭТО ВАМ ПОНРАВИТСЯ!

Какие цветы выбрать девушке

0
За несколько месяцев, предшествующих Дню Всех Влюблённых, мы подготовили серьезный, объемный материал, посвящённый одному из самых важных вопросов, который 14 февраля обычно приходится решать...