Обрезание у мальчиков: что это такое, для чего и когда его делают, как ухаживать...
Обрезание у мужчин – это процедура, в ходе которой происходит удаление крайней плоти. Эта операция также называется «циркумцизия», являясь одним из самых популярных хирургических...
Народные средства от укусов комаров для детей — чем обрабатывать и мазать кожу в...
Лето оставляет большое количество приятных впечатлений. Однако, неотъемлемыми атрибутами этого периода в наших широтах являются стаи комаров, стремящиеся укусить вас и оставить о себе...
Ингаляции при насморке небулайзером: рецепты для детей при заложенности носа
Содержание:Какие ингаляции при насморке небулайзером можно делать для детей: рецептыКак лечитьСок алоэ от насморка у грудничкаЛечим малыша от насморкаЛечение насморка у грудничков народными средствами...
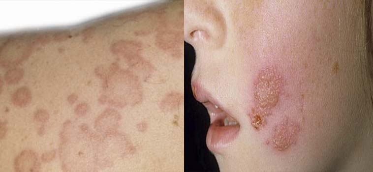
Чем лечить лишай у ребенка в домашних условиях, как вывести, чтобы быстро прошел: народные...
Чем лечить лишай у кошек – вопрос, который задают часто те, кто владеет этими созданиями. Какие есть рекомендации по борьбе с этой болезнью?Вообще, данная...
Как вывести мокроту у ребенка: как помочь грудничку откашляться в домашних условиях?
По поводу кашля у ребенка беспокоится каждая мать, особенно если болезнь затронула младенца. Организм новорожденного еще не окреп, и следует очень внимательно отнестись к...
Склеропластика глаз у детей — что это такое, какие есть «за» и «против» для...
Склеропластика – офтальмологическая операция, целью которой является укрепление склеральной оболочки глаза для стабилизации процесса прогрессирующей близорукости у детей и подростков.Сегодня существует несколько вариантов данного вмешательства,...
Как дать ребенку горькую таблетку: как сделать, чтобы лекарство выпил совсем маленький в 2...
Оглавление:Как дать горькое лекарство ребенку?Если ребенок не хочет пить лекарствоРебенок не хочет пить лекарство!Ребенок не хочет принимать лекарствоМалыш не хочет принимать лекарствоМамы делятся опытом:...
Чем лечить укусы комаров у детей, что делать при опухоли и покраснении, как снять...
Укус кровососущего насекомого такого, как комара – явление довольно распространенное. В большинстве случаев атаки вредителей сопровождаются покраснением, зудом и появлением отека на...
Чем обработать рану у ребенка после падения — как лечить мокнущую ссадину, которая не...
Ссадины – травмы, с которыми сталкивается человек в процессе своей жизнедеятельности. Нет ни одного человека, который хотя бы раз не столкнулся с такой ситуацией....
Ингаляции с физраствором в небулайзере детям при кашле и насморке: инструкция и дозировка
Одним из самых действенных и безопасных способов преодоления сезонной простуды и гриппа еще с давних времен была ингаляция, которая традиционно состояла из вдыхания горячих...

























































